Categories: Blog

Câncer de coração existe: tumor raro pode ser confundido com falta de ar e exige cirurgia de altíssimo risco

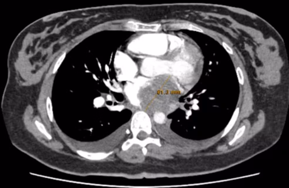
Uma mulher de 23 anos chegou ao pronto-socorro com falta de ar progressiva e palpitações havia quase três semanas. Jovem, sem doenças prévias conhecidas, ela parecia um caso típico de embolia pulmonar — hipótese reforçada por exames laboratoriais alterados. Mas a tomografia descartou o coágulo no pulmão e revelou algo inesperado: uma massa de cerca de 6 centímetros ocupando o átrio esquerdo do coração.

O diagnóstico final foi ainda mais incomum: sarcoma intimal cardíaco, um tipo raro e agressivo de câncer que nasce no próprio coração.

Segundo o relato publicado na revista científica Case Reports and Case Series in Cardiology Journal (CRCSCJ), a paciente foi operada em caráter de urgência. A cirurgia retirou parte do átrio esquerdo para remover o tumor, e o exame anatomopatológico confirmou um sarcoma de alto grau.

Cinco meses depois, já em acompanhamento oncológico, exames detectaram metástases cerebrais.

O caso ilustra um paradoxo da medicina: embora o coração seja o órgão símbolo da vida, o câncer que nasce nele é extremamente raro —e, por isso mesmo, pouco conhecido.

O que é câncer de coração?

 

Tumor cardíaco é toda massa anormal que cresce dentro ou ao redor do coração. Eles podem ser:

  • Primários: quando se originam no próprio coração
  • Secundários (metástases): quando vêm de outro órgão e se instalam ali

 

Os tumores secundários são mais comuns. “O secundário é de 20 a 130 vezes mais frequente do que o primário”, explica o cirurgião cardiovascular Ricardo Katayose, da BP – A Beneficência Portuguesa de São Paulo.

Já os tumores primários são raros. Em estudos de necrópsia, a incidência varia de 0,001% a 0,03%. Quando malignos, cerca de 65% são sarcomas —um tipo de câncer que se origina em tecidos de sustentação do corpo, como músculos, vasos sanguíneos e tecido conjuntivo.

Por que é tão raro?

 

Não há uma causa hereditária claramente descrita. Tampouco fatores externos bem estabelecidos. Segundo o oncologista Stephen Stefani, do grupo Oncoclínicas e da Americas Health Foundation, a explicação pode estar na própria biologia do órgão.

Diferentemente do intestino, da pele ou do pulmão —tecidos que se renovam constantemente— o músculo cardíaco tem baixa taxa de divisão celular. Como o câncer surge a partir de erros na duplicação das células, quanto menor a multiplicação, menor a probabilidade estatística de mutações acumuladas.

“Como toda célula que duplica pode duplicar errado, o coração não está imune. Mas ele não é um tecido que precisa se renovar o tempo todo”, explica Stefani.

Quais são os sintomas?

 

O grande desafio é que os sinais são inespecíficos.

  • Falta de ar.
  • Palpitação.
  • Fraqueza.
  • Dor torácica.
  • Desmaio.

 

“São sintomas que não são típicos de tumor”, diz Stefani.

 

Em muitos casos, o paciente chega com quadro semelhante a insuficiência cardíaca. Foi o que ocorreu com a jovem de 23 anos, cujo tumor causava obstrução da válvula mitral e comprometia a circulação dentro do coração.

Além do risco oncológico, há um risco mecânico imediato.

“Uma massa dentro do coração pode obstruir o fluxo sanguíneo, causar choque cardiogênico ou até um AVC se fragmentos se desprenderem”, afirma Katayose.

 

Como é feito o diagnóstico?

 

ecocardiograma.fazer biópsia com agulha convencional no coração. O diagnóstico depende de exames de imagem, como:

  • ecocardiograma;
  • ressonância magnética;
  • cateterismo, em casos selecionados.

 

Muitas vezes, o diagnóstico definitivo só vem após a cirurgia, com análise do tecido retirado.

No caso publicado, o tumor foi identificado primeiro por tomografia e confirmado por ecocardiograma, que mostrou obstrução significativa do fluxo sanguíneo.

Cirurgia como tratamento de primeira linha

 

A principal linha de tratamento é a cirurgia.

“É uma cirurgia de altíssima complexidade. Diferentemente de trocar uma válvula, não existe um roteiro previsível. Cada caso é uma surpresa”, afirma Stefani.

 

Dependendo do subtipo e da presença de metástases, pode haver indicação de quimioterapia complementar.

prognóstico depende principalmente de um fator: se é possível retirar completamente o tumor com margem de segurança.

Mas o que isso significa?

Na cirurgia oncológica, não basta remover apenas a parte visível do tumor. O cirurgião precisa retirar também uma pequena faixa de tecido saudável ao redor da lesão. Essa “margem de segurança” funciona como uma garantia biológica: ela aumenta a chance de que células microscópicas, invisíveis a olho nu, também sejam removidas.

Depois da cirurgia, o material é analisado no microscópio. Se as bordas da peça retirada estiverem livres de células cancerígenas, diz-se que a margem é negativa —o melhor cenário possível. Quando há células tumorais na borda, significa que pode ter ficado doença residual no coração, o que aumenta o risco de recidiva.

Em tumores cardíacos, conseguir margem adequada é particularmente desafiador. Isso porque o coração é um órgão vital, com estruturas delicadas e funções que não podem ser amplamente sacrificadas. Ainda assim, quando a retirada completa é possível, especialistas afirmam que existe chance real de cura.

“Se for possível ressecar tudo, como em outros sarcomas, podemos falar em cura”, diz Stefani.

 

Mas nem sempre isso é viável. Tumores infiltrativos, como alguns angiosarcomas, podem ser mais agressivos e difíceis de remover completamente.

Prognóstico: o que se sabe

 

Os dados são limitados justamente pela raridade da doença. Na literatura médica, a sobrevida média descrita varia entre 3 e 12 meses após o diagnóstico nos casos malignos.

Menos de 15% dos pacientes sobrevivem além de cinco anos.

Por outro lado, especialistas alertam que, por serem tão raros, esses números podem variar bastante entre subtipos e centros especializados. A ausência de grandes estudos dificulta estabelecer padrões definitivos.

Quando suspeitar?

 

Não existe exame de rastreamento para câncer de coração. A investigação geralmente começa quando sintomas persistentes não encontram explicação em causas mais comuns. Um ecocardiograma pode revelar massas intracardíacas inesperadas.

“O tumor cardíaco muitas vezes é silencioso. Quando começa a dar sinal, já pode estar grande”, resume Katayose.

Fonte: G1
Ponto de Vista

Recent Posts

Família de homem assassinado em presídio do RN diz que só descobriu morte dois meses depois

Um homem de 39 anos que cumpria pena no sistema penitenciário do Rio Grande do…

2 dias ago

Justiça Eleitoral realiza atendimentos no Feriadão do Dia Trabalhador no RN; confira locais e horários

A Justiça Eleitoral realiza atendimentos neste feriado do Dia do Trabalhador (1º) e também neste…

2 dias ago

Fim da escala 6×1: mais tempo para descanso e família é prioridade

Mais tempo com a família, para cumprir as obrigações em casa, passear e até mesmo…

2 dias ago

Acordo Mercosul- UE entra em vigor nesta sexta após 26 anos

Após 26 anos de negociações, o acordo comercial entre Mercosul e União Europeia entra em…

2 dias ago

Suspeito de participar de roubo de R$ 2,5 milhões em joias é preso em Mossoró

Um homem de 31 anos, suspeito de participar do roubo de joias avaliadas em cerca de…

2 dias ago

Professores de escolas municipais de Natal paralisam atividades em protesto por reposição salarial

Aulas em escolas da rede municipal de Natal foram suspensas nesta quinta-feira (30) por causa…

2 dias ago

This website uses cookies.